
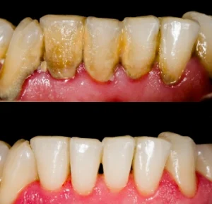
ขูดหินปูน สำคัญกว่าที่คุณคิด

ขูดหินปูน (Scaling) คือการกำจัดคราบหินปูนที่สะสมตามร่องเหงือกและรอบตัวฟัน ซึ่งแปรงสีฟันไม่สามารถทำความสะอาดได้หมด หินปูนเป็นตัวการสำคัญที่ทำให้เกิดโรคเหงือก กลิ่นปาก และฟันโยกในระยะยาว
ข้อดีของการขูดหินปูนทุก 6 เดือน
- ป้องกันโรคเหงือกอักเสบ
- ลดกลิ่นปาก
- เหงือกสุขภาพดี ไม่บวมแดง
- ฟันสะอาดและดูขาวขึ้นเล็กน้อย
- ช่วยตรวจสุขภาพช่องปากโดยรวม
ขูดหินปูนเจ็บไหม?
ความรู้สึกระหว่างขูดหินปูนแตกต่างกันไป ขึ้นอยู่กับปริมาณหินปูนและสุขภาพเหงือก โดยทั่วไปแล้ว:
- ถ้าขูดเป็นประจำ หินปูนน้อย จะรู้สึกเพียงเล็กน้อย
- ทันตแพทย์สามารถใช้เจลชาช่วยให้สบายขึ้น
- เครื่องมือระบบอัลตราโซนิกทันสมัย ขูดได้เร็วและนุ่มนวล
ถ้าไม่ขูดหินปูนจะเกิดอะไรขึ้น?
- เหงือกอักเสบ → เหงือกร่น → ฟันโยก
- เกิดกลิ่นปากเรื้อรัง
- อาจเกิดหนองหรือโรคปริทันต์ขั้นรุนแรง
- ต้องเสียค่าใช้จ่ายมากขึ้นในอนาคต เช่น ถอนฟันหรือผ่าตัดเหงือก
“ขูดหินปูนไม่ได้น่ากลัวอย่างที่คิดค่ะ ยิ่งทำเป็นประจำ ยิ่งสบาย เหงือกแข็งแรง ฟันอยู่กับเราได้นานขึ้นแน่นอน”
— ทันตแพทย์เฉพาะทาง Smile A Lot
ทำไมต้องขูดหินปูนที่ Smile A Lot?
- ทันตแพทย์ผู้เชี่ยวชาญให้บริการ
- ใช้เครื่องมือทันสมัย ปลอดภัย
- ระบบแจ้งเตือนนัดล่วงหน้า
- บริการด้วยความใส่ใจ ราคาสมเหตุสมผล
จองนัดหมาย
LINE: @smilealot.dc
📞 สาขาวัชรพล: 088-649-7977
📞 สาขาเทพรักษ์: 099-905-7688