✨ Smile Design: การออกแบบรอยยิ้มเฉพาะคุณ เพิ่มความมั่นใจแบบไม่ซ้ำใคร
ในยุคที่ภาพลักษณ์และความมั่นใจคือสิ่งสำคัญ การออกแบบรอยยิ้ม (Smile Design) จึงกลายเป็นบริการทันตกรรมความงามที่ได้รับความนิยมสูงสุดในปี 2025 นี้ เพราะไม่ใช่แค่การทำฟันให้เรียงสวย แต่คือการ “ดีไซน์” รอยยิ้มให้เหมาะกับแต่ละบุคคลโดยเฉพาะ 💫
Smile Design คืออะไร?
Smile Design คือกระบวนการวางแผนและออกแบบรอยยิ้ม โดยอาศัยเทคโนโลยีทันตกรรมร่วมกับศาสตร์ด้านความงาม เช่น การวิเคราะห์ใบหน้า รูปร่างฟัน สีฟัน และบุคลิกของคนไข้ เพื่อให้ได้รอยยิ้มที่ดูดี เข้ากับตัวตนของคุณที่สุด
ทำไมหลายคนค้นหาหัวข้อนี้?
- ✅ รอยยิ้มสวยช่วยเพิ่มโอกาสในหน้าที่การงานและชีวิตส่วนตัว
- ✅ คนไข้ไม่ต้องการฟันเรียงสวยเหมือนกันทุกคน อยากได้ดีไซน์เฉพาะตัว
- ✅ วัยรุ่น-วัยทำงาน เริ่มลงทุนกับบุคลิกภาพผ่านรอยยิ้ม
ขั้นตอนของ Smile Design
- 1. สแกนฟัน 3 มิติ: ด้วยระบบ intraoral scanner
- 2. วิเคราะห์โครงหน้า: วัดสัดส่วนใบหน้า ริมฝีปาก ฟัน และคาง
- 3. AI & ซอฟต์แวร์ออกแบบรอยยิ้ม: จำลองภาพ Before–After
- 4. ทันตแพทย์วางแผนร่วมกับคนไข้: เพื่อเลือกทางเลือกที่เหมาะสมที่สุด
Smile Design เหมาะกับใคร?
- ✅ ผู้ที่มีฟันซ้อน ฟันห่าง หรือฟันบิ่น
- ✅ ผู้ที่เคยจัดฟันแล้วแต่ยังไม่พอใจกับรอยยิ้ม
- ✅ ผู้ที่ต้องการปรับภาพลักษณ์ หรือเตรียมตัวถ่ายงานสำคัญ
- ✅ ผู้ที่อยากทำวีเนียร์ รากเทียม หรือครอบฟันแบบพรีเมียม
✨ “เพราะรอยยิ้มที่ใช่ คือรอยยิ้มที่เป็นคุณ” — Smile Design คือจุดเริ่มต้นของความมั่นใจแบบยั่งยืน
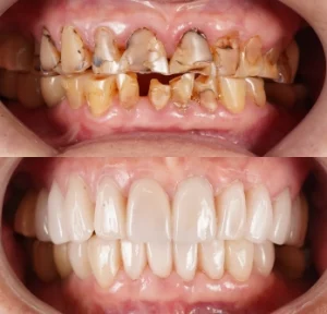
เคสตัวอย่างจาก Smile A Lot Dental Clinic
เราใช้เทคโนโลยี Digital Smile Design และกล้อง DSLR ถ่ายภาพวิเคราะห์อย่างละเอียด พร้อมแบบจำลองให้คุณเห็นรอยยิ้มล่วงหน้าได้ก่อนตัดสินใจ

ปรึกษาได้ฟรี ไม่มีค่าใช้จ่าย
หากคุณอยากรู้ว่ารอยยิ้มในฝันของคุณควรเป็นแบบไหน ทักหาเราได้เลย! ทีมทันตแพทย์เฉพาะทางของ Smile A Lot พร้อมให้คำแนะนำโดยไม่คิดค่าบริการ
📍 ติดต่อสอบถามหรือจองคิวได้ที่ LINE OA:
คลิกเพื่อแชทกับคลินิก Smile A Lot




